Welcome to The Bayswater Dental Clinic

At Bayswater Dental Clinic, our pledge is to provide excellent dental care and high standard of dentistry, beyond our patients expectations. Where dentistry is not just seen as a service we provide, but it is considered to be an Art and it starts by putting you as a patient at ease with receiving dental treatment!

Excellent Care and Easy Access – Bayswater Dental Clinic

Excellent care and easy access

Our Clinic was established in early 1960s in west of London and ever since it has been providing excellent general and cosmetic dental services by highly qualified dentist, in many cases for up to three generations of the same family! It is located in Bayswater area, West London, W2 6JE, within 2-10 minutes walking distance from Bayswater, Queensway, Royal Oak, Paddington and Notting Hill Gate underground stations.

Bayswater Dental Clinic Paddington
Bayswater Dental Clinic Reception Area Image London
Bayswater Dental Clinic Chair Image in London
More than 15 Years of Experience – Bayswater Dental Clinic London
Established more than 65 years ago!
Good Life Through Bayswater Dental Practice London

Good life through best dentistry!

During the opening hours, you can book your appointment by calling the clinic, emailing the clinic or directly book your appointment online.

Nervous and anxious patients are welcomed

We very much welcome the anxious and nervous patients to our dental practice.Our staff and dentists offer a calm, relaxing and sympathetic chair side manners to mitigate stress and anxiety of our patients.

Nervous and Anxious Patient – Bayswater Dental Clinic London
Facial Rejuvenation Treatment in London - Bayswater Dental Clinic

Facial Rejuvenation Treatments

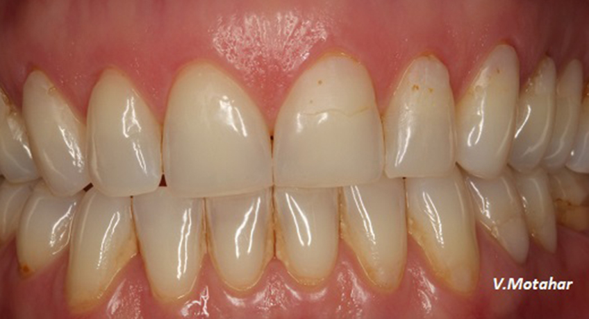
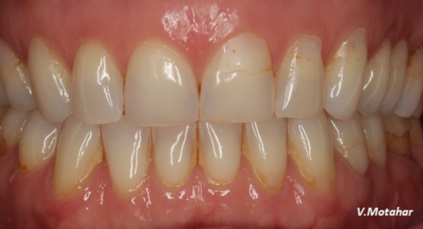
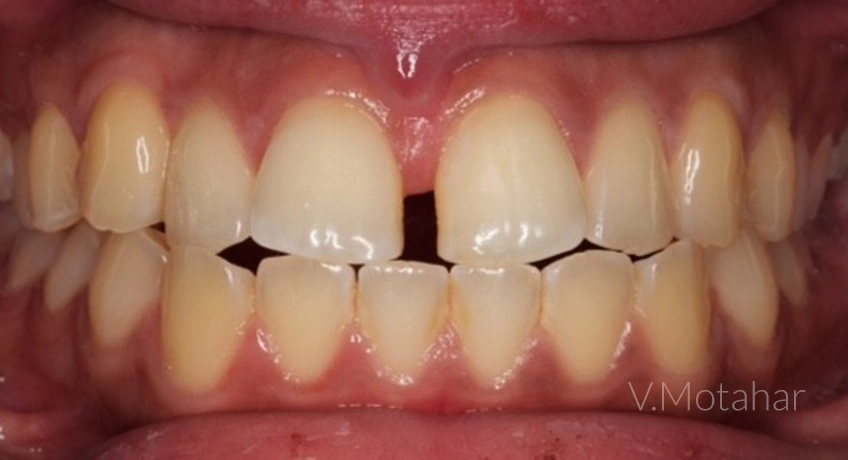
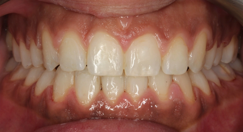
We have a highly experienced team that has successfully completed thousands of smile make overs with very satisfied patients and excellent aesthetic outcomes.The art of a beautiful smile, in our view, is not limited just to teeth and gum. We also offer facial rejuvenation treatments such as Botox injections for wrinkle reductions, dermal fillers and non-surgical Rhinoplasty for younger looking appearance.

Anti-snoring and Jaw-pain relief devices – Bayswater Dental Clinic

Anti-snoring and Jaw-pain relief devices

We are one of the largest providers of anti snoring devices, such as Somnowell, in greater London area.Somnowell has been shown to be one of the most effective devices to stop snoring and sleep apnoea. We also offer soft, hard and NTI night guard to help with the jaw joints pain that results from grinding teeth at night or clenching teeth, otherwise known as TMJ dysfunction or TMJ pain.

Prices

Our aim has been to make private dentistry a possibility and affordable for all groups of our society and we have introduced some measure to help our patients with this. It starts by having reasonable fees first, and then by providing a range of payment options. They include;

1

Pay as You Go

Pay As You Go Payment Plan as in the case of Invisalign, 6 Month Smiles and most other treatments.

2

0% Finance

Pay As You Go Payment Plan as in the case of Invisalign, 6 Month Smiles and most other treatments.

3

Membership Schemes

Where you get 10% discount on all general dentistry cost with some added other benefits.

We hope you will find it a useful and enjoyable web site to browse through and gain the information you need about us, our clinic and what we can do for you.

Our pledge is to provide excellent dental care and high standard of dentistry

Provide Excellent Dental Care London – Bayswater Dental Care